Šypsena yra daugiau nei tik veido išraiška. Tai tyli žinutė, kurią siunčiate pasauliui dar prieš ištardami pirmą žodį. Ji veikia kaip vizitinė kortelė, kurios negalite paslėpti, net jei to norėtumėte. Tai nėra tik estetinis elementas, o savijautos dalis, kuri veikia pasitikėjimą savimi, bendravimą ir net kasdienius sprendimus. Daugelis žmonių ilgą laiką gyvena su mintimi, kad jų šypsena „galėtų būti geresnė“, tačiau nesiima veiksmų. Baimė dažniausiai kyla ne dėl pačios procedūros, o dėl nežinomybės, kaip tai atrodys, kaip jausis, ar verta investuoti? Šiandien estetinė dantų restauracija laminatėmis Vilniuje yra viena iš pažangiausių sričių, leidžiančių pasiekti natūralų ir ilgalaikį rezultatą. Šis straipsnis skirtas būtent tam – kad neliktų neatsakytų klausimų. Kad sprendimas būtų ne spontaniškas, o sąmoningas.
Kas yra estetinė dantų restauracija laminatėmis
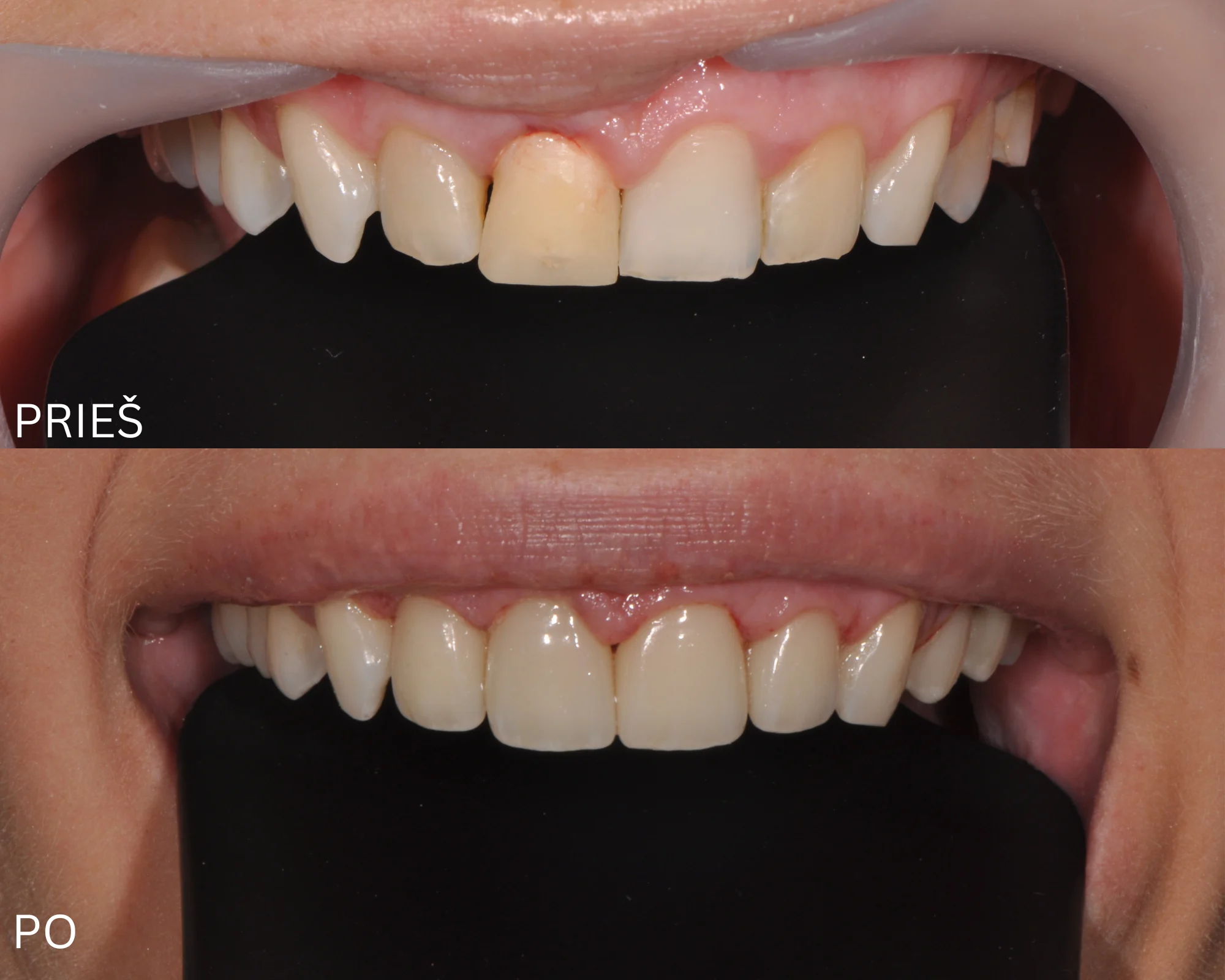
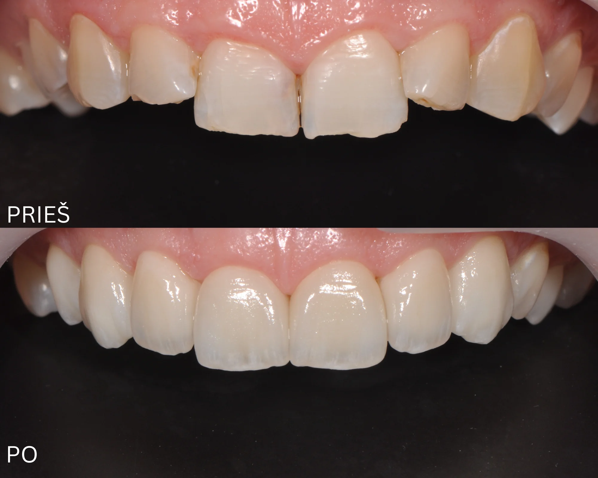
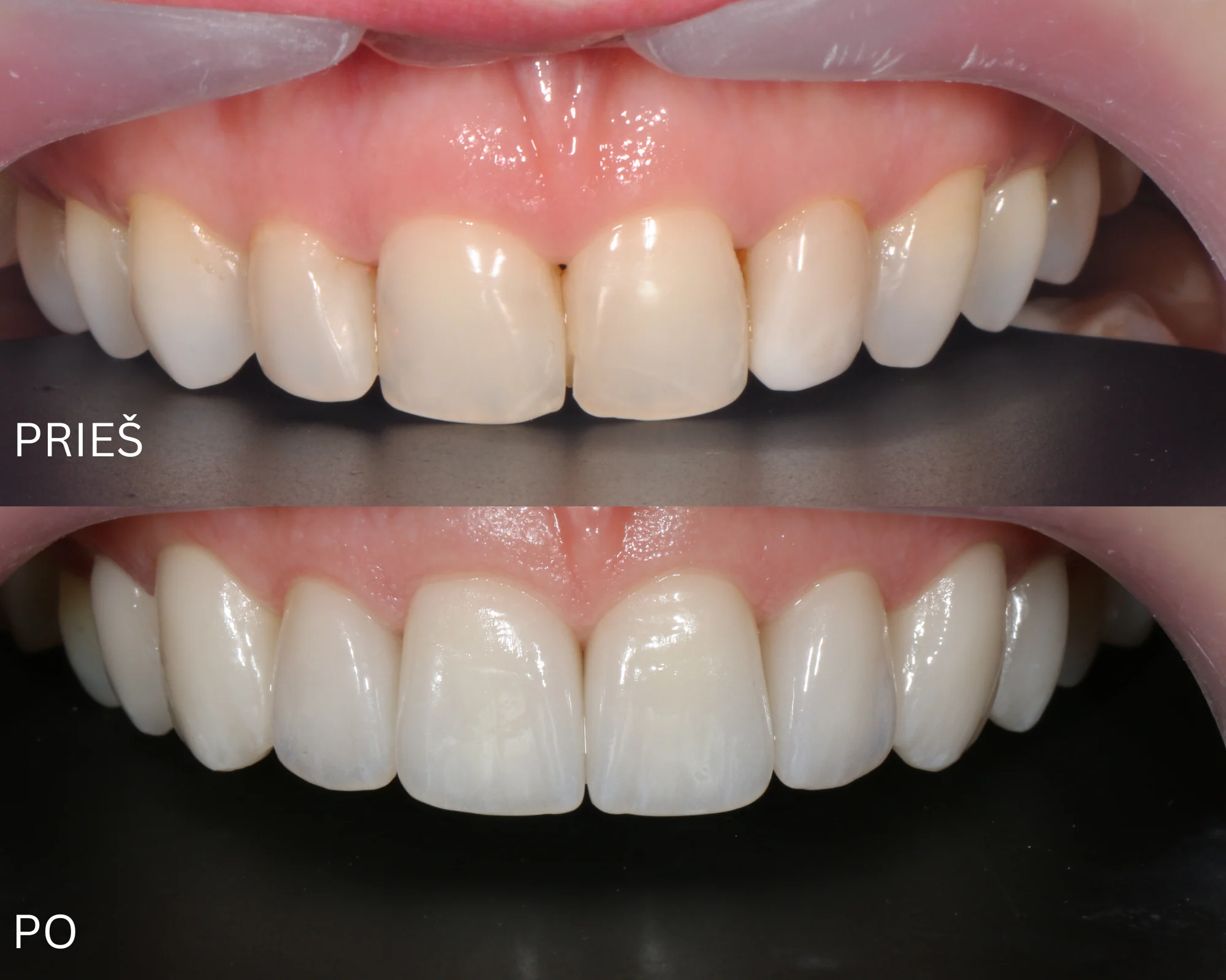
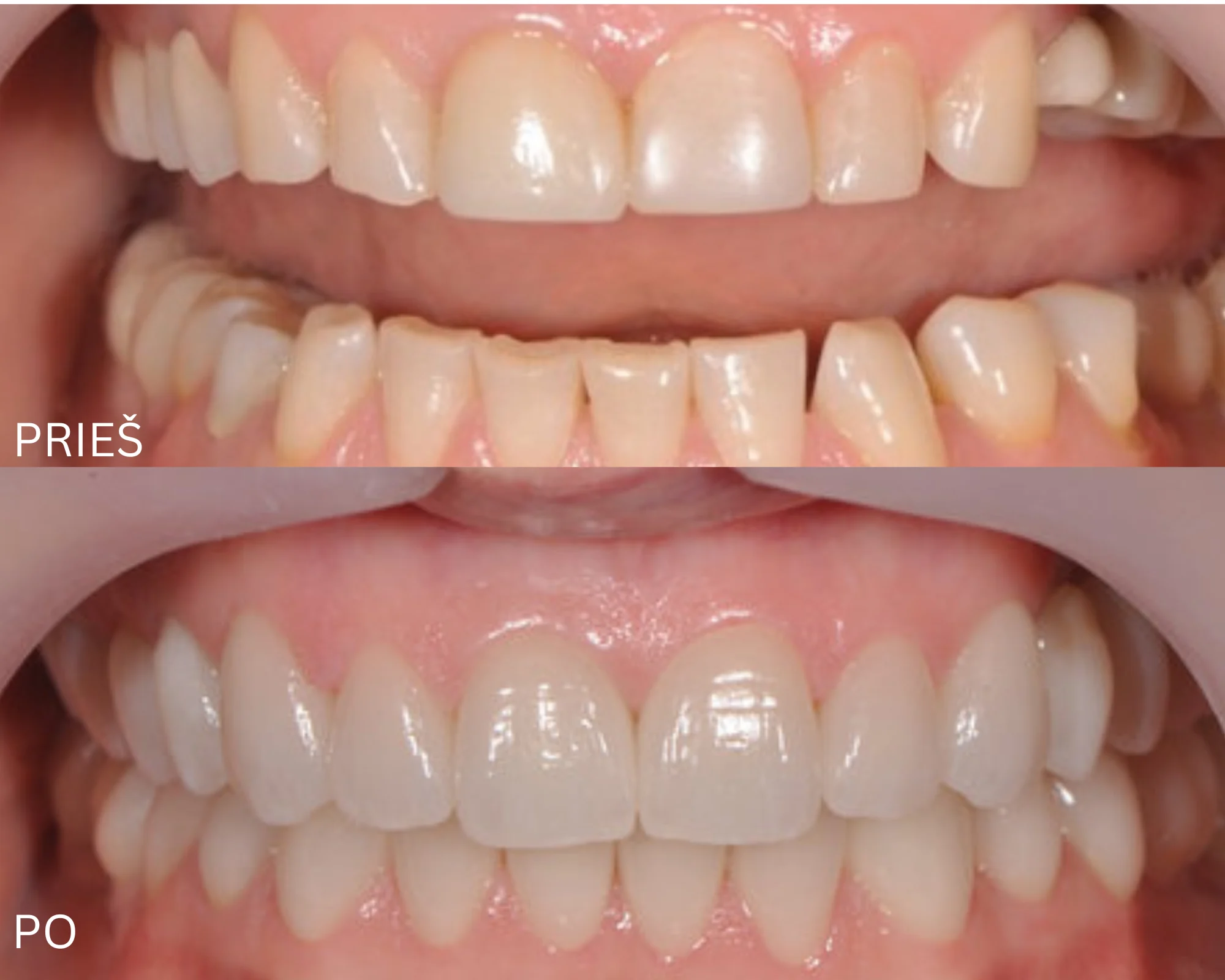
Estetinė dantų restauracija laminatėmis dažnai apibūdinama paprastai, tačiau iš tikrųjų tai yra vienas sudėtingiausių ir tiksliausių odontologinių procesų. Laminatės yra itin plonos keraminės plokštelės, kurios tvirtinamos prie priekinio dantų paviršiaus, tačiau jų funkcija nėra tik „uždengti“ dantį. Jos kuriamos taip, kad atkurtų natūralią danties struktūrą, spalvą ir šviesos atspindėjimą. Profesionalus odontologas vertina ne tik dantis, bet ir visą veidą, nes šypsena turi derėti su žmogaus bruožais. Kiekviena laminatė yra individuali, sukurta konkrečiam pacientui, todėl nėra universalių sprendimų. Šiuolaikinės technologijos leidžia tiksliai modeliuoti būsimą rezultatą dar prieš pradedant procedūrą. Tai reiškia, kad žmogus gali pamatyti savo būsimą šypseną iš anksto. Kadangi taip pat pasižymi ypatingu plonumu, todėl dažnai leidžia išsaugoti didžiąją dalį natūralaus danties audinio. Tai svarbus aspektas, nes šiuolaikinė estetika remiasi ne tik grožiu, bet ir biologiškai tausojančiais gydymo metodais. Būtent dėl šios priežasties laminatės laikomos vienu iš pažangiausių ir tausojančių estetinio gydymo sprendimų. Tai nėra kosmetinė procedūra – tai mediciniškai ir estetiškai pagrįsta individualiai suplanuota transformacija.
Laminatės, venyrai ir kitos restauracijos. Kuo jos skiriasi ir ką rinktis?
Labai dažnai žmonės susiduria su skirtingais terminais ir tai sukelia painiavą. Laminatės ir venyrai iš esmės reiškia tą patį, tik vienas terminas yra lietuviškas, o kitas – tarptautinis. Tačiau estetinė dantų restauracija gali būti atliekama ir kitais būdais, pavyzdžiui, kompozitu. Kompozitinė restauracija atliekama tiesiogiai ant danties ir yra greitesnė, tačiau jos ilgaamžiškumas yra mažesnis. Ji gali keisti spalvą, prarasti blizgesį ir reikalauti korekcijų. Laminatės gaminamos laboratorijoje, todėl pasižymi didesniu tikslumu ir stabilumu. Jos išlaiko spalvą ir estetiką daug ilgiau. Taip pat svarbu paminėti, kad laminatės leidžia pasiekti natūralesnį rezultatą dėl keramikos savybių. Kiti metodai dažnai sprendžia tik vieną problemą, pavyzdžiui, spalvą ar formą. Laminatės tuo tarpu leidžia koreguoti visą šypsenos vaizdą. Todėl jos laikomos aukštesnio lygio sprendimu. Pasirinkimas priklauso nuo situacijos, tačiau kai tikslas yra ilgalaikis rezultatas, dažniausiai pasirenkamos būtent laminatės.
Ar verta rinktis laminates?
Klausimas „ar verta“ nėra tik apie kainą. Tai klausimas apie savijautą. Jei šypsena kelia diskomfortą, jei ją norisi slėpti ar kontroliuoti – tai signalas, kad verta pasidomėti galimybėmis. Laminatės nėra būtinybė, tačiau jos gali būti sprendimas. Tai pokytis, kuris jaučiamas kasdien. Žmonės pradeda šypsotis laisviau, bendrauti užtikrinčiau, jaustis labiau savimi. Svarbiausia – sprendimą priimti neskubant. Konsultacijos metu ramiai aptariamos visos galimybės, atsakoma į klausimus, o būsimą rezultatą galima pamatyti dar prieš pradedant gydymą.
Natūralumas ir estetika, kodėl svarbiausia ne baltumas, o harmonija?
Vienas dažniausių mitų apie laminates yra tas, kad jų tikslas yra kuo baltesni dantys. Tačiau profesionali estetika remiasi visai kitu principu. Tikslas yra harmonija, o ne maksimalus efektas. Spalva parenkama ne tik pagal paciento norą, bet ir atsižvelgiant į žmogaus veido bruožus, odos atspalvį bei bendrą šypsenos proporciją. Per balti dantys gali atrodyti dirbtinai ir net išryškinti kitus veido netobulumus. Todėl svarbiausia yra balansas. Laminatės kuriamos taip, kad atrodytų natūraliai net iš arti. Tai pasiekiama naudojant skirtingo skaidrumo keramiką. Taip pat kuriama paviršiaus tekstūra, kuri leidžia šviesai natūraliai atsispindėti. Visa tai sukuria efektą, kuris nėra „akivaizdus“. Žmonės nepastebi, kad dantys atkurti. Jie pastebi, kad žmogus atrodo geriau. Ir būtent tai yra tikrasis estetikos tikslas.
Funkcija, sąkandis ir dantų sveikata, kodėl tai svarbiau nei atrodo?
Estetinė dantų restauracija laminatėmis negali būti vertinama tik per grožio prizmę. Jei nėra tinkamos funkcijos, net ir gražiausias rezultatas gali būti trumpalaikis. Sąkandis yra pagrindas, nuo kurio priklauso viskas. Jei dantys susikanda netolygiai, atsiranda per didelė apkrova. Tai gali lemti laminačių nusidėvėjimą ar pažeidimus. Todėl profesionalus gydytojas visada vertina funkciją prieš estetiką. Taip pat svarbu įvertinti bruksizmą – dantų griežimą. Jei jis yra, gali būti reikalingos papildomos apsaugos priemonės. Estetika ir funkcija turi veikti kartu. Tik tada rezultatas yra stabilus ir ilgaamžis. Tai vienas svarbiausių aspektų, kurį dažnai pamiršta pacientai. Tačiau būtent jis lemia, ar rezultatas išliks.
Laminatės po ortodontinio gydymo – kai tiesūs dantys dar nėra galutinis rezultatas
Daugelis žmonių galvoja, kad po ortodontinio gydymo kapomis ar breketais šypsena jau yra galutinė. Ir iš tiesų – dantys tampa tiesūs, sąkandis pagerėja, funkcija atsistato. Tačiau labai dažnai būtent šiame etape atsiranda suvokimas, kad kažko vis dar trūksta. Dantys gali būti nevienodos formos, skirtingo ilgio, su nusidėvėjusiais kraštais ar netolygaus atspalvio. Kitaip tariant, jie yra tiesūs, bet dar ne estetiškai harmoningi. Būtent čia estetinė dantų restauracija laminatėmis tampa logišku ir natūraliu žingsniu. Po ortodontinio gydymo dantys jau yra tinkamoje pozicijoje, todėl laminatės gali būti taikomos minimaliai invaziškai ir itin tiksliai. Tai leidžia ne keisti padėtį, o „užbaigti vaizdą“ – suteikti dantims vientisumą, proporciją ir estetinį balansą. Laminatės po kapų ar breketų dažnai naudojamos tam, kad būtų suvienodinta forma, uždaryti smulkūs tarpai, atkurti nusidėvėję kraštai ar sukurta natūralesnė spalva. Ir būtent todėl labai dažnai ortodontinis gydymas ir laminatės eina kartu, kaip du etapai viename bendrame procese.
Psichologinis pokytis, kuris dažnai nustebina labiausiai
Didžiausias pokytis dažnai įvyksta ne išorėje. Jis įvyksta viduje. Žmonės pradeda šypsotis laisviau. Jie jaučiasi labiau savimi. Atsiranda daugiau pasitikėjimo. Tai nėra dramatiškas pokytis, bet jis labai juntamas. Ir būtent dėl to laminatės dažnai laikomos ne tik estetine procedūra. Tai investicija į savijautą.
Dantenų estetika
Kalbant apie estetinę dantų restauraciją laminatėmis, dažniausiai visas dėmesys skiriamas dantims, tačiau profesionalo akimis tikroji estetika prasideda nuo dantenų. Dantenų linija formuoja rėmą, kuriame „gyvena“ šypsena, todėl jos simetrija ir forma turi didžiulę reikšmę galutiniam rezultatui. Jei dantenos yra nelygios, per aukštos ar per žemos, net ir idealiai pagamintos laminatės gali atrodyti neharmoningai. Būtent todėl prieš atliekant estetinę dantų restauraciją laminatėmis visada vertinama ne tik dantų, bet ir dantenų būklė. Kartais minimalios dantenų korekcijos gali iš esmės pakeisti šypsenos estetiką ir padaryti ją proporcingą. Tai subtilus, tačiau labai svarbus aspektas, kuris dažnai nepastebimas pacientų, bet yra kritinis profesionalams. Estetinė odontologija šiandien apima ne tik „baltą estetiką“, bet ir vadinamąją „rožinę estetiką“. Tik suderinus šiuos du elementus galima pasiekti tikrą natūralumą. Todėl svarbu suprasti, kad graži šypsena prasideda ne nuo laminačių, o nuo visos burnos harmonijos. Ir būtent čia atsiranda skirtumas tarp vidutinio ir aukšto lygio rezultato.
Šypsenos linija (smile line)
Šypsenos linija yra vienas svarbiausių, tačiau dažnai neįvertinamų aspektų planuojant laminates. Tai yra santykis tarp viršutinių dantų ir apatinės lūpos šypsenos metu, kuris lemia, kaip natūraliai atrodo šypsena. Jei laminatės nėra pritaikytos prie šypsenos linijos, jos gali atrodyti „atskirai“ nuo veido. Profesionaliai planuojant estetinę dantų restauraciją laminatėmis visada vertinama, kiek dantų matosi kalbant ir šypsantis. Taip pat analizuojama, kaip dantų kraštai seka lūpos formą. Idealiu atveju dantų linija švelniai atkartoja apatinės lūpos kontūrą. Tai sukuria natūralų, estetiškai malonų vaizdą. Jei šis aspektas ignoruojamas, rezultatas gali atrodyti dirbtinai, net jei pačios laminatės yra kokybiškos. Šypsenos linija taip pat susijusi su veido dinamika, todėl ji vertinama ne tik statiškai, bet ir judesyje. Tai vienas iš tų elementų, kuris lemia, ar šypsena atrodo „gyva“. Ir būtent tokios detalės išskiria profesionalų darbą.
Veido proporcijos ir kodėl šypsena negali būti kuriama atskirai?
Estetinė dantų restauracija laminatėmis nėra izoliuotas procesas, nes šypsena yra neatsiejama viso veido dalis. Profesionalai visada vertina veido proporcijas prieš kurdami šypsenos dizainą. Tai apima veido ilgį, plotį, simetriją ir net lūpų formą. Dantys turi derėti prie veido, o ne būti išskirtinis elementas. Jei šypsena neatitinka bendro veido balanso, ji gali atrodyti nenatūraliai. Todėl laminatės kuriamos taip, kad papildytų bendrą įvaizdį. Tai reiškia, kad kiekvienas sprendimas yra individualus. Net tas pats dantų „gražumo standartas“ gali visiškai netikti skirtingiems žmonėms. Būtent dėl to masiniai sprendimai dažnai atrodo dirbtinai. Profesionalus požiūris visada remiasi harmonija. Ir tai yra viena iš pagrindinių priežasčių, kodėl aukšto lygio rezultatai atrodo natūraliai.
Amžius ir šypsenos dizainas, tai subtilus, bet labai svarbus skirtumas
Šypsena keičiasi kartu su žmogumi, todėl amžius yra svarbus faktorius planuojant laminates. Jaunesniems žmonėms būdingesni ilgesni, ryškesni dantys su daugiau tekstūros. Vyresniame amžiuje šypsena natūraliai tampa švelnesnė, mažiau kontrastinga. Profesionaliai atliekant estetinę dantų restauraciją laminatėmis visada atsižvelgiama į šiuos pokyčius. Tikslas nėra sukurti „vienodą“ šypseną visiems. Tikslas yra sukurti tokią šypseną, kuri atitinka žmogaus amžių ir išvaizdą. Per daug jaunatviška šypsena gali atrodyti nenatūraliai vyresniame veide. Lygiai taip pat per „rami“ šypsena gali nesuteikti energijos jaunesniam žmogui. Todėl svarbu išlaikyti balansą. Tai subtilus, bet labai svarbus aspektas. Ir būtent tokie sprendimai sukuria natūralų rezultatą.
„Perdarytos šypsenos“ problema – kai per daug tampa per daug
Vienas dažniausių žmonių nuogąstavimų yra baimė, kad dantys atrodys dirbtinai. Tai dažniausiai susiję su vadinamąja „overdesign“ problema. Kai dantys yra per balti, per vienodi ar per „tobuli“, jie praranda natūralumą. Estetinė dantų restauracija laminatėmis neturi būti apie maksimalų efektą. Ji turi būti apie balansą. Profesionalai visada siekia subtilumo, o ne perdėjimo. Tai reiškia, kad paliekami natūralūs netobulumai, kurie sukuria tikrumo jausmą. Per daug simetriški dantys gali atrodyti nenatūraliai. Todėl tikrasis grožis slypi detalėse. Ir būtent čia atsiranda skirtumas tarp estetikos ir „dirbtinumo“. Geras rezultatas yra tas, kurio nepastebi.
Kalbėjimas ir fonetika, kaip laminatės veikia jūsų balsą
Vienas praktinių aspektų, apie kurį retai kalbama, yra kalbėjimas. Dantys vaidina svarbų vaidmenį formuojant garsus, todėl jų forma turi būti tiksliai suplanuota. Profesionaliai atliekant estetinę dantų restauraciją laminatėmis visada tikrinama fonetika. Tai reiškia, kad pacientas testuoja tam tikrus garsus, pavyzdžiui „s“, „f“ ar „v“. Jei laminatės yra per storos ar netinkamos formos, tai gali turėti įtakos tarimui. Tačiau tinkamai atlikus procedūrą, kalbėjimas išlieka natūralus. Pirmomis dienomis gali būti nedidelė adaptacija. Vėliau viskas tampa įprasta. Tai labai svarbus aspektas, nes komfortas yra ne mažiau svarbus nei estetika. Ir būtent tai rodo aukštą darbo lygį.
Emocinis šypsenos dizainas, kaip šypsena atspindi jūsų charakterį
Šypsena nėra tik fizinis dalykas, ji turi emocinį krūvį. Profesionalus šypsenos dizainas atsižvelgia ne tik į formą ar spalvą, bet ir į žmogaus charakterį. Švelnesnės formos dantys gali sukurti minkštesnį, draugiškesnį įvaizdį. Ryškesni kampai gali suteikti stipresnio charakterio įspūdį. Tai subtilūs sprendimai, tačiau jie daro didelę įtaką bendram vaizdui. Estetinė dantų restauracija laminatėmis leidžia sukurti šypseną, kuri atitinka žmogų. Tai nėra šablonas. Tai individualus sprendimas. Ir būtent tai sukuria natūralų rezultatą.
Šypsena nuotraukose ir socialiniuose tinkluose
Šiandien šypsena yra matoma ne tik gyvai, bet ir nuotraukose. Laminatės leidžia sukurti švaresnį, estetiškesnį vaizdą nuotraukose. Jos geriau atspindi šviesą, todėl dantys atrodo natūraliai balti. Taip pat sumažėja šešėliai ir spalvų netolygumai. Tai ypač svarbu socialiniuose tinkluose, kur vaizdas yra pagrindinis komunikacijos elementas. Estetinė dantų restauracija laminatėmis gali turėti didelę įtaką tam, kaip žmogus atrodo nuotraukose – tačiau svarbiausia, kad rezultatas išliktų natūralus ir atitiktų paties žmogaus veidą bei šypseną.
Kodėl kai kurie laminatų rezultatai atrodo nenatūraliai?
Ne visi rezultatai yra vienodi. Blogi rezultatai dažniausiai atsiranda dėl planavimo trūkumo. Kai naudojami šablonai, o ne individualus dizainas, šypsena atrodo dirbtinai. Taip pat problema atsiranda, kai nevertinama funkcija. Estetinė dantų restauracija laminatėmis reikalauja kompleksinio požiūrio. Tai nėra tik „uždėjimas“. Tai planavimas, analizė ir tikslumas. Ir būtent tai lemia rezultatą.
Mikrodetalės, kas iš tikrųjų sukuria „wow“ efektą
Didžiausią skirtumą sukuria detalės. Tai gali būti kraštų permatomumas, paviršiaus tekstūra ar spalvos sluoksniavimas. Šie elementai sukuria natūralumą. Be jų šypsena gali atrodyti plokščia. Estetinė dantų restauracija laminatėmis aukščiausiame lygyje yra apie detales. Ir būtent jos sukuria rezultatą, kuris išsiskiria.
Estetinė dantų restauracija laminatėmis, kaip suprasti kainą ir tikrąją vertę?
Kalbant apie estetinę dantų restauraciją laminatėmis, vienas pirmųjų klausimų, kuris kyla daugeliui žmonių, yra susijęs su kaina ir tuo, ar ši procedūra tikrai verta investicijos? Tačiau svarbu suprasti, kad tai nėra sprendimas, kurį reikėtų vertinti vien tik pagal skaičius. Estetinė dantų restauracija laminatėmis nėra trumpalaikė išlaida, o ilgalaikė investicija į savo išvaizdą, savijautą ir pasitikėjimą savimi. Pigūs ar greiti sprendimai dažnai iš pirmo žvilgsnio atrodo patrauklūs, tačiau laikui bėgant gali pareikalauti papildomų korekcijų, taisymų ar net visiško perdarymo. Tokiu atveju galutinė suma tampa didesnė nei iš karto pasirinkus kokybišką sprendimą. Būtent todėl svarbu vertinti ne tik kainą, bet ir rezultatą, kuris išliks daugelį metų. Aukštos kokybės laminatės pasižymi stabilumu, natūralia estetika ir ilgaamžiškumu, todėl jų vertė atsiskleidžia laikui bėgant. Ši procedūra nėra apie momentinį pokytį, o apie kasdien jaučiamą komfortą ir pasitikėjimą. Ir būtent todėl tikrasis pasirinkimas vyksta ne tarp pigiau ar brangiau, o tarp laikino sprendimo ir ilgalaikės vertės
Estetinė dantų restauracija laminatėmis užsienyje ar Lietuvoje
Svarstant apie estetinę dantų restauraciją laminatėmis, daugelis žmonių neišvengiamai susiduria su klausimu, ar verta vykti į užsienį, ar geriau rinktis gydymą Lietuvoje? Dažnai sprendimas siejamas su kaina ar greičiu, tačiau realybėje svarbiausias skirtumas slypi ne šalyje, o procese. Kokybiška estetinė dantų restauracija laminatėmis visada prasideda nuo išsamios analizės, individualaus planavimo ir kruopštaus pasiruošimo. Jei šie etapai yra praleidžiami arba atliekami paviršutiniškai, net ir techniškai gražiai atrodantis rezultatas gali būti trumpalaikis ar nepatogus. Profesionalus požiūris reiškia ne tik laminačių pagaminimą, bet ir sąkandžio, funkcijos, veido proporcijų bei šypsenos dinamikos įvertinimą. Būtent šie aspektai lemia, ar šypsena atrodys natūraliai ir tarnaus ilgai. Todėl svarbiausia yra ne vieta, kur atliekama procedūra, o specialisto kompetencija ir taikomas gydymo procesas. Skubūs sprendimai ar standartiniai „paketai“ dažnai atrodo patrauklūs, tačiau jie retai užtikrina individualų rezultatą. Tuo tarpu nuoseklus, profesionaliai suplanuotas gydymas leidžia pasiekti kokybę, kuri išlieka metų metus. Ir būtent tai turėtų būti pagrindinis kriterijus priimant sprendimą.
Procesas nuo pirmos konsultacijos iki galutinio rezultato
Estetinė dantų restauracija laminatėmis nėra vieno vizito procedūra. Tai procesas, kuris susideda iš kelių etapų. Pirmiausia vyksta konsultacija, kurios metu įvertiname situaciją ir paciento lūkesčius Tuomet kuriamas šypsenos dizainas. Tai leidžia pacientui pamatyti būsimą rezultatą. Visuomet atliekamas laikinas modeliavimas, kuris kuriamas dantų techniko laboratorijoje – tai leidžia pacientui realiai pamatyti ir pajusti būsimą šypseną dar prieš pradedant gydymą. Esant poreikiui, atliekamos minimalios korekcijos, po kurių laminatės gaminamos laboratorijoje pagal individualius parametrus. Galiausiai jos tvirtinamos. Kiekvienas etapas yra svarbus. Nuo jo priklauso galutinis rezultatas. Todėl skubėjimas šiame procese nėra privalumas. Kokybė reikalauja laiko.
Kas nutinka po 5 – 10 metų ir kiek ilgai tarnauja laminates?
Vienas dažniausių klausimų yra apie ilgaamžiškumą. Aukštos kokybės laminatės gali tarnauti daugelį metų. Jos nekeičia spalvos ir išlaiko estetiką. Tai nėra laikinas sprendimas. Tačiau laikui bėgant gali prireikti korekcijų. Tai natūralu, nes keičiasi ir pats žmogus. Svarbu suprasti, kad laminatės gali būti atnaujinamos. Tai reiškia, kad sprendimas yra lankstus. Žmogus gali jaustis užtikrintai. Tai nėra vienkartinė investicija.
Praktiniai klausimai, kuriuos svarbu žinoti prieš procedūrą
Prieš priimant sprendimą žmonėms kyla daug praktinių klausimų. Ar dantys lieka gyvi? Taip, daugeliu atvejų taip. Ar reikia šlifuoti? Dažniausiai minimaliai. Ar jausis? Tik pirmomis dienomis. Ar galima sugadinti? Kaip ir natūralius dantis reikia saugoti. Ar priežiūra sudėtinga? Ne, ji labai panaši į įprastą. Ar galima nuimti? Tai ilgalaikis sprendimas. Kiek reikia laminačių? Priklauso nuo šypsenos. Visi šie klausimai yra normalūs. Ir būtent atsakymai į juos leidžia priimti ramų sprendimą.
Kai sprendimas jau aiškus, lieka tik pirmas žingsnis
Ar skaitydami šį tekstą bent kartą pagalvojote, kad norėtumėte natūralios, harmoningos šypsenos? Greičiausiai sprendimas jau yra jūsų viduje. Estetinė dantų restauracija laminatėmis nėra apie madą ar trendus. Tai apie jausmą, kai šypsena tampa sava, lengva ir nebekelia jokių abejonių. Tokius sprendimus padeda įgyvendinti gydytojai, kurie specializuojasi estetinėje odontologijoje – dažniausiai tai gydytojas odontologas, turintis patirties estetinės dantų restauracijos ir šypsenos dizaino srityje. Jis geba matyti ne tik dantis, bet ir visumą – veido bruožus, proporcijas, individualumą. Svarbiausia suprasti, kad viskas prasideda ne nuo procedūros, o nuo pokalbio. Konsultacijos metu įvertinama jūsų situacija, išklausomi lūkesčiai ir kartu ieškoma sprendimo, kuris būtų natūralus būtent jums.













































